Título
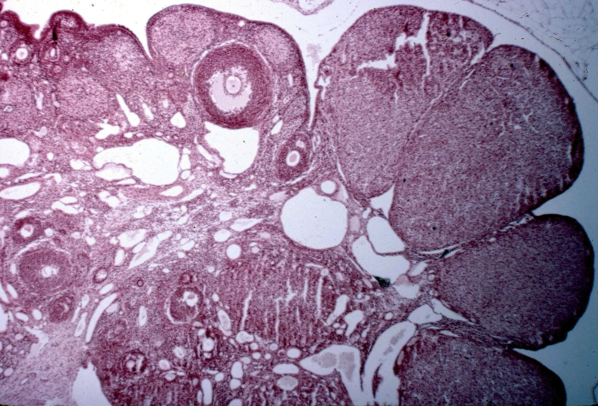
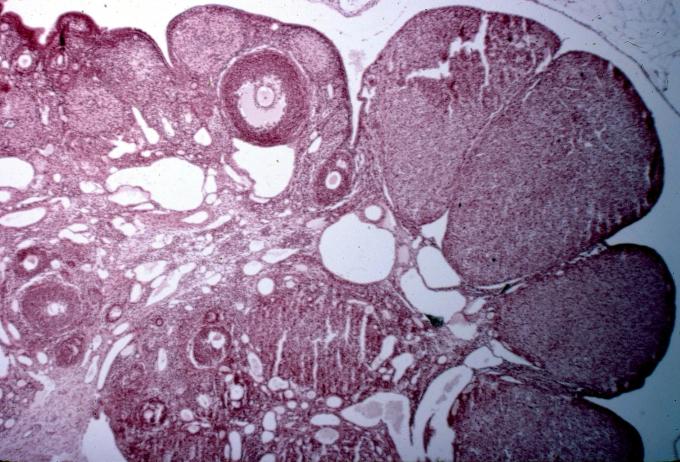
Ovario de rata
Me gusta
Licencia
creative commons: attribution - non commercial - share alike
Condiciones de Uso
Esta licencia permite que otros remezclen, adapten y desarrollen su obra sin fines comerciales, siempre y cuando le atribuyan a usted el mérito y licencien sus nuevas creaciones bajo las mismas condiciones.


